A curious case study

Article Type
Changed
Mon, 01/14/2019 - 11:24
Display Headline
A curious case study

The patient’s signs and symptoms:

  • Skin folds on the neck
  • Decreasing visual acuity
  • Skin biopsy showing irregular aggregates of clumped, thickened, elastic fibers in the papillary and reticular dermis

A 21-year-old woman came to the British American Hospital in Lima, Peru, complaining of skin folds that had been growing on her neck for 3 years, as well as decreasing visual acuity over the last several months. She said that the skin folds were neither itchy nor painful.

She had a history of heartburn that worsened after eating, but that was being treated successfully with ranitidine. She reported no fever, chills, sweats, weight loss, alopecia, photosensitivity, malar rash, or any other skin rashes. Her history was otherwise unremarkable. She was taking no medications other than ranitidine, and had no known drug allergies. She didn’t smoke and drank alcohol only occasionally. Our patient worked as a salesperson at a music store. Interestingly, she had a sister with the same skin lesions and ophthalmologic complaint.

We found no lymphadenopathy. On her antecubital fossae and neck, numerous small, yellow papules had coalesced to form plaques with a cobblestone appearance (FIGURE 1). Her skin was redundant in the neck and axillae. We noted no other skin folds. She had a prominent horizontal crease of the chin (positive mental crease sign).

There were angioid streaks on funduscopic examination (FIGURE 2). Her lungs were clear to auscultation and percussion. Her cardiovascular exam was normal; there were no carotid bruits, and peripheral pulses were normal. The abdomen was soft and nontender; no hepatosplenomegaly or masses were present. We found no peripheral edema or cyanosis. A neurological exam was unremarkable.

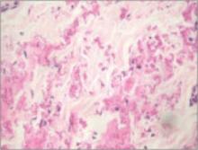
Blood work revealed a hemoglobin level of 11.8 g/dL. The rest of the complete blood count was within normal limits. Electrolytes, liver profile, lipid profile, and urinalysis were within normal limits. A chest film showed no acute process. Skin biopsy of the neck folds showed irregular aggregates of clumped, thickened, elasticfibers in the papillary and reticular dermis (FIGURE 3).

FIGURE 1
Skin folds that had been growing for 3 years


In addition to the skin folds on her neck, the patient had several small, yellow papules that had coalesced to form plaques with a cobblestone appearance.

FIGURE 2
Cause of the patient’s declining vision


A funduscopic exam revealed angioid streaks (arrows).

FIGURE 3
Skin biopsy results


Biopsy of the patient’s skin folds showed irregular aggregates of clumped, thickened, elastic fibers in the papillary and reticular dermis. No epidermal changes were appreciated (hematoxylin and eosin stain).

What is your diagnosis?

Diagnosis: Pseudoxanthoma elasticum

Pseudoxanthoma elasticum is an autosomally inherited disorder associated with the accumulation of mineralized and fragmented elastic fibers in the skin, Bruch’s membrane in the retina, and vessel walls.1,2 The patient’s dermatologic and ocular findings were highly suggestive of this disorder, particularly given the absence of findings indicative of other diseases.

The average age of patients diagnosed with pseudoxanthoma elasticum skin abnormalities is 22 years.3 Risk of cardiovascular disease may correlate with the presence of angioid streaks of the fundus—irregular, reddish-brown, or gray lines radiating from the optic disc.4 Patients may have severe ophthalmologic or cardiac disease with little or no skin involvement, or vice versa.5-8 Onset, progression, and severity of the disease vary considerably among patients.8,9

With timely diagnosis, many complications of pseudoxanthoma elasticum can be prevented or treated. In particular, prognosis improves with early recognition of extracutaneous organ involvement. Screen first-degree family members for any cutaneous or ophthalmologic markers of pseudoxanthoma elasticum, and offer genetic counseling to family members of affected patients.

Estimated prevalence ranges from 1:70,000 to 1:100,000 live births,10 which may vary in specific areas. In 2000, the patient support group PXE International suggested that there is a prevalence of 1:25,000 in New England.11 The female-to-male ratio is thought to be almost 2:1, but there is no satisfactory explanation for this. All races are affected.

Clues to look for in the 3 systems affected

Dermatologic manifestations. The most common features of pseudoxanthoma elasticum are ivory to yellowish, raised papules varying in size from 1 to 3 mm. The papules may have a linear or reticular arrangement and may coalesce into plaques.12 In many patients the skin becomes wrinkled and redundant, hanging in folds, as was the case with our patient. The lesions occur first on the lateral part of the neck and the flexural areas.

Isolated periumbilical skin lesions are called periumbilical perforating pseudoxanthoma elasticum, but there is no known relation with hereditary pseudoxanthoma elasticum.13 The mental crease sign is considered a sign of pseudoxanthoma elasticum.14 The scalp, palms, and soles are unaffected. Lesions on the mucous membranes are common, especially on the inner aspect of the lower lip.

 

 

Importantly, an absence of skin lesions does not exclude the diagnosis of pseudoxanthoma elasticum.4

Ocular changes. Angioid streaks of the fundus are the most common ocular findings and are associated with pseudoxanthoma elasticum 85% of the time.2 They result from a rupture of the elastic tissue in the Bruch’s membrane of the retina. Angioid streaks may become less marked with time or disappear in conjunction with generalized atrophy of the retinal pigmentum epithelium.15 The visual prognosis for patients with angioid streaks is often poor.

Other retinal changes include macular degeneration, altered pigmentation (eg, peau d’orange appearance), subretinal neovascularization, and chorioretinal scarring. Ocular hemorrhage can occur even with minimal trauma. Hu et al described one fundus feature that seems to be typical of pseudoxanthoma elasticum: comet-like tails.1

Cardiovascular involvement. Elastic tissue degeneration and calcification of arterial media within medium-sized arteries results in diminished peripheral pulses, intermittent claudication, coronary insufficiency, premature calcification of peripheral arteries, intracranial aneurysms, cerebral ischemia, and hypertension.16 Twenty-five percent of patients acquire renovascular hypertension secondary to renal blood flow obstruction from calcium deposition in the renal arteries.

Premature cardiovascular disease may begin as early as 4 years of age and may lead to angina or sudden death.2 Consider pseudoxanthoma elasticum in young patients with coronary artery disease and no cardiovascular risk factors.17

Calcification of elastic fibers in the thin-walled arteries directly under the gastric mucosa can cause gastrointestinal bleeding.18 Melena and hematemesis are reported in up to 15% of cases.19 Subarachnoid, nasal, renal, bladder, and joint bleeding are much less common.

Skin biopsy is key

The classic histologic picture with pseudoxanthoma elasticum skin lesions is fragmentation and clumping of elastic tissue evident on Verhoeff-van Gieson stain, and calcification on von Kossa stain.7 Patients who have angioid streaks on funduscopic examination but no visible skin lesions have received a diagnosis of pseudoxanthoma elasticum based on the biopsy results of scars or flexural skin of the neck or axillae.20 Hausser described a specific ultrastructural aberrant pattern in 3 siblings without any clinical symptoms: elastin of elastic fibers regularly contained small foci of calcification resembling those in perilesional skin of the mother and other pseudoxanthoma elasticum patients.21

Another reason for biopsy. Clinically visible pseudoxanthoma elasticum-like skin lesions are not pathognomonic for this disease, because they also occur in late-onset focal dermal elastosis,22 beta-thalassemia,23 adult patients with deforming osteitis (Paget’s disease) or osteoectasia,24 farmers exposed to saltpeter fertilizers,25 pseudoxanthoma elasticum-like papillary dermal elastolysis,26 and patients who have had penicillamine therapy.

Management

Watch out for complications

Management of pseudoxanthoma elasticum focuses on preventing, screening for, and monitoring complications. One study of adolescents with pseudoxanthoma elasticum demonstrated a positive correlation between a high intake of dietary calcium and cardiovascular manifestations—but not skin lesions. At least one authority on the subject recommends that daily ingestion of calcium be restricted to 500 to 600 mg.27

Redundant skin folds can be treated with surgical excision.28 A case report describes the temporary treatment of chin folds with injectable collagen.29 Laser photocoagulation can prevent retinal hemorrhage, but recurrence is relatively common.30

How our patient’s case evolved

Once the patient’s presumptive diagnosis of pseudoxanthoma elasticum was confirmed by biopsy, we established the same diagnosis in her 18-year-old sister. The parents did not exhibit any clinical findings of pseudoxanthoma elasticum. We did refer the father to ophthalmology and to dermatology for skin biopsies of scars, but he never returned for follow-up.

To rule out cardiovascular involvement, we referred the patient to our cardiology colleagues. No abnormality was found on physical exam, and the EKG and echocardiography results were within normal limits. Results of myocardial perfusion testing were also within normal limits, and the patient achieved 92% of the maximum predicted heart rate.

Since the patient was not a smoker, we simply reinforced the importance of not smoking. We advised her to follow a diet low in fat and calcium, and to avoid platelet inhibitors and contact sports to prevent gastrointestinal bleeding and retinal hemorrhage, respectively. We also recommended that she have periodic funduscopic evaluations, as well as cardiovascular evaluations to monitor blood pressure and lipids.

Acknowledgments

The authors thank Rafael Doig, MD (Nuclear Medicine) and Jose Barriga, MD (Department of Ophthalmology) of British American Hospital, Lima, Peru, for their assistance in the preparation of this article.

Correspondence
Gustavo Vasquez, MD, Division of Infectious Diseases, Department of Medicine, Thomas Jefferson University, 834 Walnut Street, Suite 650, Philadelphia, PA 19107; [email protected]

References

1. Hu X, Plomp A, van Soest S, et al. Pseudoxanthoma elasticum: A clinical, histopathological, and molecular update. Survey Ophthalmol. 2003;48:424-438.

2. Abdelmalek NF, Gerber TL, Menter A. Cardiocutaneous syndromes and associations. J Am Acad Dermatol. 2002;46:161-183.

3. Jacobi H, Schreiber G. Pseudoxanthoma elasticum. Skin changes as a marker of systemic illness. Der Hautarzt. 1997;48:191-194.

4. Sherer DW, Sapadin AN, Lebwohl MG. Pseudoxanthoma elasticum: an update. Dermatology. 1999;199:3-7.

5. De Paepe A, Viljoen D, Matton M, et al. Pseudoxanthoma elasticum: similar autosomal recessive subtype in Belgian and Afrikaner families. Am J Med Genet. 1991;38:16-20.

6. Kevorkian JP, Masquet C, Kural-Menasche S, et al. New report of severe coronary artery disease in an eighteen-year-old girl with pseudoxanthoma elasticum. Case report and review of the literature. Angiology. 1997;48:735-741.

7. Lebwohl M, Halperin J, Phelps RG. Brief report: occult pseudoxanthoma elasticum in patients with premature cardiovascular disease. N Engl J Med. 1993;329:1237-1239.

8. Sherer DW, Bercovitch L, Lebwohl M. Pseudoxanthoma elasticum: significance of limited phenotypic expression in parents of affected offspring. J Am Acad Dermatol. 2001;44:534-537.

9. Uitto J, Boyd CD, Lebwohl MG, et al. International Centennial Meeting on Pseudoxanthoma Elasticum: progress in PXE research. J Invest Dermatol. 1998;110:840-842.

10. Struk B, Neldner KH, Rao VS, et al. Mapping of both autosomal recessive and dominant variants of pseudoxanthoma elasticum to chromosome 16p13.1. Hum Mol Genet. 1997;6:1823-1828.

11. Chassaing N, Martin L, Calvas P. Pseudoxanthoma elasticum: a clinical, pathophysiological and genetic update including 11 novel ABCC6 mutations. J Med Genet. 2005;42:881-892.

12. Schneider T, Appel H-P, Kuhlwein A, et al. Groenblad-Strandberg-Syndrome. Z Hautkr. 1984;59:1290-1300.

13. Sapadin AN, Lebwohl MG, Teich SA, et al. Periumbilical pseudoxanthoma elasticum associated with chronic renal failure and angioid streaks—apparent regression with hemodialysis. J Am Acad Dermatol. 1998;39:338-344.

14. Lebwohl M, Lebwohl E, Bercovitch L. Prominent mental (chin) crease: a new sign of pseudoxanthoma elasticum. J Am Acad Dermatol. 2003;48:620-622.

15. Shilling JS, Blach RK. Prognosis and therapy of angioid streaks. Trans Ophthalmol Soc UK. 1975;95:301-306.

16. Schievink WI, Michels VV, Piepgras DG. Neurovascular manifestations of heritable connective tissue disorders: a review. Stroke. 1994;25:889-903.

17. Kiec-Wilk B, Surdacki A, Dembinska-Kiec A. Acute myocardial infarction and a new ABCC6 mutation in a 16-year-old boy with pseudoxanthoma elasticum. Int J Cardiol. 2007;116:261-262.

18. Lever WF, Elder DE, Elenitsas R. Congenital diseases (Genodermatoses). In: Lever WF, Schaumburg-Lever G, eds. Histopathology of the Skin. 8th ed. Philadelphia, Pa: Lippincott-Raven; 1997:117-151.

19. Fah L. Pseudoxanthoma elasticum—a visual diagnosis. Schweiz Med Wochenschr. 1991;121:660-663.

20. Lebwohl M, Phelps RG, Yannuzzi L, et al. Diagnosis of pseudoxanthoma elasticum by scar biopsy in patients without characteristic skin lesions. N Engl J Med. 1987;317:347-350.

21. Hausser I. Early preclinical diagnosis of dominant pseudoxanthoma elasticum by specific ultrastructural changes of dermal elastic and collagen tissue in a family at risk. Hum Genet. 1991;87:693-700.

22. Limas C. Late onset focal dermal elastosis: a distinct clinicopathologic entity? Am J Dermatopathol. 1999;21:381-383.

23. Baccarani-Contri M, Bacchelli B, Boraldi F, et al. Characterization of pseudoxanthoma elasticum-like lesions in the skin of patients with beta-thalassemia. J Am Acad Dermatol. 2001;44:33-39.

24. Rook A, Wilkinson D, Ebling F, et al. PXE. In: Rook A, ed. Textbook of Dermatology. 4th ed. Oxford, England: Blackwell Scientific; 1986:1841-1844.

25. Christensen OB. An exogenous variety of pseudoxanthoma elasticum in old farmers. Acta Derm Venereol. 1978;58:319-321.

26. Rongioletti F, Rebora A. Fibroelastolytic patterns of intrinsic skin aging: pseudoxanthoma-elasticum-like papillary dermal elastolysis and white fibrous papulosis of the neck. Dermatology. 1995;191:19-24.

27. Neldner KH. Pseudoxanthoma elasticum. Int J Dermatol. 2007;27:98-100.

28. Ng AB, O’Sullivan ST, Sharpe DT. Plastic surgery and pseudoxanthoma elasticum. Br J Plast Surg. 1999;52:594-596.

29. Galadari H, Lebwohl M. Pseudoxanthoma elasticum: Temporary treatment of chin folds and lines with injectable collagen. J Am Acad Dermatol. 2003;49(suppl 5):S265-S266.

30. Uitto J, Ringpfeil F, Pulkkinen L. Pseudoxanthoma elasticum. In: Bolognia JL, Jorizzo JL, Rapini RP, eds. Dermatology. 1st ed. London, England: Mosby; 2003:1524-1526.

Article PDF
Author and Disclosure Information

Gustavo Vasquez, MD
Thomas Jefferson University, Philadelphia
[email protected]

William Keimig, MD
Henry Ford Hospital, Detroit

Guido Batillana, MD
José Caballero, MD
Javier Del Aguila, MD
Yolanda Scavino, MD
British American Hospital, Lima, Peru

The authors reported no potential conflict of interest relevant to this article.

Issue
The Journal of Family Practice - 57(12)
Publications
Page Number
812-816
Legacy Keywords
Gustavo Vasquez; pseudoxanthoma elasticum; skin folds; visual acuity
Sections
Author and Disclosure Information

Gustavo Vasquez, MD
Thomas Jefferson University, Philadelphia
[email protected]

William Keimig, MD
Henry Ford Hospital, Detroit

Guido Batillana, MD
José Caballero, MD
Javier Del Aguila, MD
Yolanda Scavino, MD
British American Hospital, Lima, Peru

The authors reported no potential conflict of interest relevant to this article.

Author and Disclosure Information

Gustavo Vasquez, MD
Thomas Jefferson University, Philadelphia
[email protected]

William Keimig, MD
Henry Ford Hospital, Detroit

Guido Batillana, MD
José Caballero, MD
Javier Del Aguila, MD
Yolanda Scavino, MD
British American Hospital, Lima, Peru

The authors reported no potential conflict of interest relevant to this article.

Article PDF
Article PDF

The patient’s signs and symptoms:

  • Skin folds on the neck
  • Decreasing visual acuity
  • Skin biopsy showing irregular aggregates of clumped, thickened, elastic fibers in the papillary and reticular dermis

A 21-year-old woman came to the British American Hospital in Lima, Peru, complaining of skin folds that had been growing on her neck for 3 years, as well as decreasing visual acuity over the last several months. She said that the skin folds were neither itchy nor painful.

She had a history of heartburn that worsened after eating, but that was being treated successfully with ranitidine. She reported no fever, chills, sweats, weight loss, alopecia, photosensitivity, malar rash, or any other skin rashes. Her history was otherwise unremarkable. She was taking no medications other than ranitidine, and had no known drug allergies. She didn’t smoke and drank alcohol only occasionally. Our patient worked as a salesperson at a music store. Interestingly, she had a sister with the same skin lesions and ophthalmologic complaint.

We found no lymphadenopathy. On her antecubital fossae and neck, numerous small, yellow papules had coalesced to form plaques with a cobblestone appearance (FIGURE 1). Her skin was redundant in the neck and axillae. We noted no other skin folds. She had a prominent horizontal crease of the chin (positive mental crease sign).

There were angioid streaks on funduscopic examination (FIGURE 2). Her lungs were clear to auscultation and percussion. Her cardiovascular exam was normal; there were no carotid bruits, and peripheral pulses were normal. The abdomen was soft and nontender; no hepatosplenomegaly or masses were present. We found no peripheral edema or cyanosis. A neurological exam was unremarkable.

Blood work revealed a hemoglobin level of 11.8 g/dL. The rest of the complete blood count was within normal limits. Electrolytes, liver profile, lipid profile, and urinalysis were within normal limits. A chest film showed no acute process. Skin biopsy of the neck folds showed irregular aggregates of clumped, thickened, elasticfibers in the papillary and reticular dermis (FIGURE 3).

FIGURE 1
Skin folds that had been growing for 3 years


In addition to the skin folds on her neck, the patient had several small, yellow papules that had coalesced to form plaques with a cobblestone appearance.

FIGURE 2
Cause of the patient’s declining vision


A funduscopic exam revealed angioid streaks (arrows).

FIGURE 3
Skin biopsy results


Biopsy of the patient’s skin folds showed irregular aggregates of clumped, thickened, elastic fibers in the papillary and reticular dermis. No epidermal changes were appreciated (hematoxylin and eosin stain).

What is your diagnosis?

Diagnosis: Pseudoxanthoma elasticum

Pseudoxanthoma elasticum is an autosomally inherited disorder associated with the accumulation of mineralized and fragmented elastic fibers in the skin, Bruch’s membrane in the retina, and vessel walls.1,2 The patient’s dermatologic and ocular findings were highly suggestive of this disorder, particularly given the absence of findings indicative of other diseases.

The average age of patients diagnosed with pseudoxanthoma elasticum skin abnormalities is 22 years.3 Risk of cardiovascular disease may correlate with the presence of angioid streaks of the fundus—irregular, reddish-brown, or gray lines radiating from the optic disc.4 Patients may have severe ophthalmologic or cardiac disease with little or no skin involvement, or vice versa.5-8 Onset, progression, and severity of the disease vary considerably among patients.8,9

With timely diagnosis, many complications of pseudoxanthoma elasticum can be prevented or treated. In particular, prognosis improves with early recognition of extracutaneous organ involvement. Screen first-degree family members for any cutaneous or ophthalmologic markers of pseudoxanthoma elasticum, and offer genetic counseling to family members of affected patients.

Estimated prevalence ranges from 1:70,000 to 1:100,000 live births,10 which may vary in specific areas. In 2000, the patient support group PXE International suggested that there is a prevalence of 1:25,000 in New England.11 The female-to-male ratio is thought to be almost 2:1, but there is no satisfactory explanation for this. All races are affected.

Clues to look for in the 3 systems affected

Dermatologic manifestations. The most common features of pseudoxanthoma elasticum are ivory to yellowish, raised papules varying in size from 1 to 3 mm. The papules may have a linear or reticular arrangement and may coalesce into plaques.12 In many patients the skin becomes wrinkled and redundant, hanging in folds, as was the case with our patient. The lesions occur first on the lateral part of the neck and the flexural areas.

Isolated periumbilical skin lesions are called periumbilical perforating pseudoxanthoma elasticum, but there is no known relation with hereditary pseudoxanthoma elasticum.13 The mental crease sign is considered a sign of pseudoxanthoma elasticum.14 The scalp, palms, and soles are unaffected. Lesions on the mucous membranes are common, especially on the inner aspect of the lower lip.

 

 

Importantly, an absence of skin lesions does not exclude the diagnosis of pseudoxanthoma elasticum.4

Ocular changes. Angioid streaks of the fundus are the most common ocular findings and are associated with pseudoxanthoma elasticum 85% of the time.2 They result from a rupture of the elastic tissue in the Bruch’s membrane of the retina. Angioid streaks may become less marked with time or disappear in conjunction with generalized atrophy of the retinal pigmentum epithelium.15 The visual prognosis for patients with angioid streaks is often poor.

Other retinal changes include macular degeneration, altered pigmentation (eg, peau d’orange appearance), subretinal neovascularization, and chorioretinal scarring. Ocular hemorrhage can occur even with minimal trauma. Hu et al described one fundus feature that seems to be typical of pseudoxanthoma elasticum: comet-like tails.1

Cardiovascular involvement. Elastic tissue degeneration and calcification of arterial media within medium-sized arteries results in diminished peripheral pulses, intermittent claudication, coronary insufficiency, premature calcification of peripheral arteries, intracranial aneurysms, cerebral ischemia, and hypertension.16 Twenty-five percent of patients acquire renovascular hypertension secondary to renal blood flow obstruction from calcium deposition in the renal arteries.

Premature cardiovascular disease may begin as early as 4 years of age and may lead to angina or sudden death.2 Consider pseudoxanthoma elasticum in young patients with coronary artery disease and no cardiovascular risk factors.17

Calcification of elastic fibers in the thin-walled arteries directly under the gastric mucosa can cause gastrointestinal bleeding.18 Melena and hematemesis are reported in up to 15% of cases.19 Subarachnoid, nasal, renal, bladder, and joint bleeding are much less common.

Skin biopsy is key

The classic histologic picture with pseudoxanthoma elasticum skin lesions is fragmentation and clumping of elastic tissue evident on Verhoeff-van Gieson stain, and calcification on von Kossa stain.7 Patients who have angioid streaks on funduscopic examination but no visible skin lesions have received a diagnosis of pseudoxanthoma elasticum based on the biopsy results of scars or flexural skin of the neck or axillae.20 Hausser described a specific ultrastructural aberrant pattern in 3 siblings without any clinical symptoms: elastin of elastic fibers regularly contained small foci of calcification resembling those in perilesional skin of the mother and other pseudoxanthoma elasticum patients.21

Another reason for biopsy. Clinically visible pseudoxanthoma elasticum-like skin lesions are not pathognomonic for this disease, because they also occur in late-onset focal dermal elastosis,22 beta-thalassemia,23 adult patients with deforming osteitis (Paget’s disease) or osteoectasia,24 farmers exposed to saltpeter fertilizers,25 pseudoxanthoma elasticum-like papillary dermal elastolysis,26 and patients who have had penicillamine therapy.

Management

Watch out for complications

Management of pseudoxanthoma elasticum focuses on preventing, screening for, and monitoring complications. One study of adolescents with pseudoxanthoma elasticum demonstrated a positive correlation between a high intake of dietary calcium and cardiovascular manifestations—but not skin lesions. At least one authority on the subject recommends that daily ingestion of calcium be restricted to 500 to 600 mg.27

Redundant skin folds can be treated with surgical excision.28 A case report describes the temporary treatment of chin folds with injectable collagen.29 Laser photocoagulation can prevent retinal hemorrhage, but recurrence is relatively common.30

How our patient’s case evolved

Once the patient’s presumptive diagnosis of pseudoxanthoma elasticum was confirmed by biopsy, we established the same diagnosis in her 18-year-old sister. The parents did not exhibit any clinical findings of pseudoxanthoma elasticum. We did refer the father to ophthalmology and to dermatology for skin biopsies of scars, but he never returned for follow-up.

To rule out cardiovascular involvement, we referred the patient to our cardiology colleagues. No abnormality was found on physical exam, and the EKG and echocardiography results were within normal limits. Results of myocardial perfusion testing were also within normal limits, and the patient achieved 92% of the maximum predicted heart rate.

Since the patient was not a smoker, we simply reinforced the importance of not smoking. We advised her to follow a diet low in fat and calcium, and to avoid platelet inhibitors and contact sports to prevent gastrointestinal bleeding and retinal hemorrhage, respectively. We also recommended that she have periodic funduscopic evaluations, as well as cardiovascular evaluations to monitor blood pressure and lipids.

Acknowledgments

The authors thank Rafael Doig, MD (Nuclear Medicine) and Jose Barriga, MD (Department of Ophthalmology) of British American Hospital, Lima, Peru, for their assistance in the preparation of this article.

Correspondence
Gustavo Vasquez, MD, Division of Infectious Diseases, Department of Medicine, Thomas Jefferson University, 834 Walnut Street, Suite 650, Philadelphia, PA 19107; [email protected]

The patient’s signs and symptoms:

  • Skin folds on the neck
  • Decreasing visual acuity
  • Skin biopsy showing irregular aggregates of clumped, thickened, elastic fibers in the papillary and reticular dermis

A 21-year-old woman came to the British American Hospital in Lima, Peru, complaining of skin folds that had been growing on her neck for 3 years, as well as decreasing visual acuity over the last several months. She said that the skin folds were neither itchy nor painful.

She had a history of heartburn that worsened after eating, but that was being treated successfully with ranitidine. She reported no fever, chills, sweats, weight loss, alopecia, photosensitivity, malar rash, or any other skin rashes. Her history was otherwise unremarkable. She was taking no medications other than ranitidine, and had no known drug allergies. She didn’t smoke and drank alcohol only occasionally. Our patient worked as a salesperson at a music store. Interestingly, she had a sister with the same skin lesions and ophthalmologic complaint.

We found no lymphadenopathy. On her antecubital fossae and neck, numerous small, yellow papules had coalesced to form plaques with a cobblestone appearance (FIGURE 1). Her skin was redundant in the neck and axillae. We noted no other skin folds. She had a prominent horizontal crease of the chin (positive mental crease sign).

There were angioid streaks on funduscopic examination (FIGURE 2). Her lungs were clear to auscultation and percussion. Her cardiovascular exam was normal; there were no carotid bruits, and peripheral pulses were normal. The abdomen was soft and nontender; no hepatosplenomegaly or masses were present. We found no peripheral edema or cyanosis. A neurological exam was unremarkable.

Blood work revealed a hemoglobin level of 11.8 g/dL. The rest of the complete blood count was within normal limits. Electrolytes, liver profile, lipid profile, and urinalysis were within normal limits. A chest film showed no acute process. Skin biopsy of the neck folds showed irregular aggregates of clumped, thickened, elasticfibers in the papillary and reticular dermis (FIGURE 3).

FIGURE 1
Skin folds that had been growing for 3 years


In addition to the skin folds on her neck, the patient had several small, yellow papules that had coalesced to form plaques with a cobblestone appearance.

FIGURE 2
Cause of the patient’s declining vision


A funduscopic exam revealed angioid streaks (arrows).

FIGURE 3
Skin biopsy results


Biopsy of the patient’s skin folds showed irregular aggregates of clumped, thickened, elastic fibers in the papillary and reticular dermis. No epidermal changes were appreciated (hematoxylin and eosin stain).

What is your diagnosis?

Diagnosis: Pseudoxanthoma elasticum

Pseudoxanthoma elasticum is an autosomally inherited disorder associated with the accumulation of mineralized and fragmented elastic fibers in the skin, Bruch’s membrane in the retina, and vessel walls.1,2 The patient’s dermatologic and ocular findings were highly suggestive of this disorder, particularly given the absence of findings indicative of other diseases.

The average age of patients diagnosed with pseudoxanthoma elasticum skin abnormalities is 22 years.3 Risk of cardiovascular disease may correlate with the presence of angioid streaks of the fundus—irregular, reddish-brown, or gray lines radiating from the optic disc.4 Patients may have severe ophthalmologic or cardiac disease with little or no skin involvement, or vice versa.5-8 Onset, progression, and severity of the disease vary considerably among patients.8,9

With timely diagnosis, many complications of pseudoxanthoma elasticum can be prevented or treated. In particular, prognosis improves with early recognition of extracutaneous organ involvement. Screen first-degree family members for any cutaneous or ophthalmologic markers of pseudoxanthoma elasticum, and offer genetic counseling to family members of affected patients.

Estimated prevalence ranges from 1:70,000 to 1:100,000 live births,10 which may vary in specific areas. In 2000, the patient support group PXE International suggested that there is a prevalence of 1:25,000 in New England.11 The female-to-male ratio is thought to be almost 2:1, but there is no satisfactory explanation for this. All races are affected.

Clues to look for in the 3 systems affected

Dermatologic manifestations. The most common features of pseudoxanthoma elasticum are ivory to yellowish, raised papules varying in size from 1 to 3 mm. The papules may have a linear or reticular arrangement and may coalesce into plaques.12 In many patients the skin becomes wrinkled and redundant, hanging in folds, as was the case with our patient. The lesions occur first on the lateral part of the neck and the flexural areas.

Isolated periumbilical skin lesions are called periumbilical perforating pseudoxanthoma elasticum, but there is no known relation with hereditary pseudoxanthoma elasticum.13 The mental crease sign is considered a sign of pseudoxanthoma elasticum.14 The scalp, palms, and soles are unaffected. Lesions on the mucous membranes are common, especially on the inner aspect of the lower lip.

 

 

Importantly, an absence of skin lesions does not exclude the diagnosis of pseudoxanthoma elasticum.4

Ocular changes. Angioid streaks of the fundus are the most common ocular findings and are associated with pseudoxanthoma elasticum 85% of the time.2 They result from a rupture of the elastic tissue in the Bruch’s membrane of the retina. Angioid streaks may become less marked with time or disappear in conjunction with generalized atrophy of the retinal pigmentum epithelium.15 The visual prognosis for patients with angioid streaks is often poor.

Other retinal changes include macular degeneration, altered pigmentation (eg, peau d’orange appearance), subretinal neovascularization, and chorioretinal scarring. Ocular hemorrhage can occur even with minimal trauma. Hu et al described one fundus feature that seems to be typical of pseudoxanthoma elasticum: comet-like tails.1

Cardiovascular involvement. Elastic tissue degeneration and calcification of arterial media within medium-sized arteries results in diminished peripheral pulses, intermittent claudication, coronary insufficiency, premature calcification of peripheral arteries, intracranial aneurysms, cerebral ischemia, and hypertension.16 Twenty-five percent of patients acquire renovascular hypertension secondary to renal blood flow obstruction from calcium deposition in the renal arteries.

Premature cardiovascular disease may begin as early as 4 years of age and may lead to angina or sudden death.2 Consider pseudoxanthoma elasticum in young patients with coronary artery disease and no cardiovascular risk factors.17

Calcification of elastic fibers in the thin-walled arteries directly under the gastric mucosa can cause gastrointestinal bleeding.18 Melena and hematemesis are reported in up to 15% of cases.19 Subarachnoid, nasal, renal, bladder, and joint bleeding are much less common.

Skin biopsy is key

The classic histologic picture with pseudoxanthoma elasticum skin lesions is fragmentation and clumping of elastic tissue evident on Verhoeff-van Gieson stain, and calcification on von Kossa stain.7 Patients who have angioid streaks on funduscopic examination but no visible skin lesions have received a diagnosis of pseudoxanthoma elasticum based on the biopsy results of scars or flexural skin of the neck or axillae.20 Hausser described a specific ultrastructural aberrant pattern in 3 siblings without any clinical symptoms: elastin of elastic fibers regularly contained small foci of calcification resembling those in perilesional skin of the mother and other pseudoxanthoma elasticum patients.21

Another reason for biopsy. Clinically visible pseudoxanthoma elasticum-like skin lesions are not pathognomonic for this disease, because they also occur in late-onset focal dermal elastosis,22 beta-thalassemia,23 adult patients with deforming osteitis (Paget’s disease) or osteoectasia,24 farmers exposed to saltpeter fertilizers,25 pseudoxanthoma elasticum-like papillary dermal elastolysis,26 and patients who have had penicillamine therapy.

Management

Watch out for complications

Management of pseudoxanthoma elasticum focuses on preventing, screening for, and monitoring complications. One study of adolescents with pseudoxanthoma elasticum demonstrated a positive correlation between a high intake of dietary calcium and cardiovascular manifestations—but not skin lesions. At least one authority on the subject recommends that daily ingestion of calcium be restricted to 500 to 600 mg.27

Redundant skin folds can be treated with surgical excision.28 A case report describes the temporary treatment of chin folds with injectable collagen.29 Laser photocoagulation can prevent retinal hemorrhage, but recurrence is relatively common.30

How our patient’s case evolved

Once the patient’s presumptive diagnosis of pseudoxanthoma elasticum was confirmed by biopsy, we established the same diagnosis in her 18-year-old sister. The parents did not exhibit any clinical findings of pseudoxanthoma elasticum. We did refer the father to ophthalmology and to dermatology for skin biopsies of scars, but he never returned for follow-up.

To rule out cardiovascular involvement, we referred the patient to our cardiology colleagues. No abnormality was found on physical exam, and the EKG and echocardiography results were within normal limits. Results of myocardial perfusion testing were also within normal limits, and the patient achieved 92% of the maximum predicted heart rate.

Since the patient was not a smoker, we simply reinforced the importance of not smoking. We advised her to follow a diet low in fat and calcium, and to avoid platelet inhibitors and contact sports to prevent gastrointestinal bleeding and retinal hemorrhage, respectively. We also recommended that she have periodic funduscopic evaluations, as well as cardiovascular evaluations to monitor blood pressure and lipids.

Acknowledgments

The authors thank Rafael Doig, MD (Nuclear Medicine) and Jose Barriga, MD (Department of Ophthalmology) of British American Hospital, Lima, Peru, for their assistance in the preparation of this article.

Correspondence
Gustavo Vasquez, MD, Division of Infectious Diseases, Department of Medicine, Thomas Jefferson University, 834 Walnut Street, Suite 650, Philadelphia, PA 19107; [email protected]

References

1. Hu X, Plomp A, van Soest S, et al. Pseudoxanthoma elasticum: A clinical, histopathological, and molecular update. Survey Ophthalmol. 2003;48:424-438.

2. Abdelmalek NF, Gerber TL, Menter A. Cardiocutaneous syndromes and associations. J Am Acad Dermatol. 2002;46:161-183.

3. Jacobi H, Schreiber G. Pseudoxanthoma elasticum. Skin changes as a marker of systemic illness. Der Hautarzt. 1997;48:191-194.

4. Sherer DW, Sapadin AN, Lebwohl MG. Pseudoxanthoma elasticum: an update. Dermatology. 1999;199:3-7.

5. De Paepe A, Viljoen D, Matton M, et al. Pseudoxanthoma elasticum: similar autosomal recessive subtype in Belgian and Afrikaner families. Am J Med Genet. 1991;38:16-20.

6. Kevorkian JP, Masquet C, Kural-Menasche S, et al. New report of severe coronary artery disease in an eighteen-year-old girl with pseudoxanthoma elasticum. Case report and review of the literature. Angiology. 1997;48:735-741.

7. Lebwohl M, Halperin J, Phelps RG. Brief report: occult pseudoxanthoma elasticum in patients with premature cardiovascular disease. N Engl J Med. 1993;329:1237-1239.

8. Sherer DW, Bercovitch L, Lebwohl M. Pseudoxanthoma elasticum: significance of limited phenotypic expression in parents of affected offspring. J Am Acad Dermatol. 2001;44:534-537.

9. Uitto J, Boyd CD, Lebwohl MG, et al. International Centennial Meeting on Pseudoxanthoma Elasticum: progress in PXE research. J Invest Dermatol. 1998;110:840-842.

10. Struk B, Neldner KH, Rao VS, et al. Mapping of both autosomal recessive and dominant variants of pseudoxanthoma elasticum to chromosome 16p13.1. Hum Mol Genet. 1997;6:1823-1828.

11. Chassaing N, Martin L, Calvas P. Pseudoxanthoma elasticum: a clinical, pathophysiological and genetic update including 11 novel ABCC6 mutations. J Med Genet. 2005;42:881-892.

12. Schneider T, Appel H-P, Kuhlwein A, et al. Groenblad-Strandberg-Syndrome. Z Hautkr. 1984;59:1290-1300.

13. Sapadin AN, Lebwohl MG, Teich SA, et al. Periumbilical pseudoxanthoma elasticum associated with chronic renal failure and angioid streaks—apparent regression with hemodialysis. J Am Acad Dermatol. 1998;39:338-344.

14. Lebwohl M, Lebwohl E, Bercovitch L. Prominent mental (chin) crease: a new sign of pseudoxanthoma elasticum. J Am Acad Dermatol. 2003;48:620-622.

15. Shilling JS, Blach RK. Prognosis and therapy of angioid streaks. Trans Ophthalmol Soc UK. 1975;95:301-306.

16. Schievink WI, Michels VV, Piepgras DG. Neurovascular manifestations of heritable connective tissue disorders: a review. Stroke. 1994;25:889-903.

17. Kiec-Wilk B, Surdacki A, Dembinska-Kiec A. Acute myocardial infarction and a new ABCC6 mutation in a 16-year-old boy with pseudoxanthoma elasticum. Int J Cardiol. 2007;116:261-262.

18. Lever WF, Elder DE, Elenitsas R. Congenital diseases (Genodermatoses). In: Lever WF, Schaumburg-Lever G, eds. Histopathology of the Skin. 8th ed. Philadelphia, Pa: Lippincott-Raven; 1997:117-151.

19. Fah L. Pseudoxanthoma elasticum—a visual diagnosis. Schweiz Med Wochenschr. 1991;121:660-663.

20. Lebwohl M, Phelps RG, Yannuzzi L, et al. Diagnosis of pseudoxanthoma elasticum by scar biopsy in patients without characteristic skin lesions. N Engl J Med. 1987;317:347-350.

21. Hausser I. Early preclinical diagnosis of dominant pseudoxanthoma elasticum by specific ultrastructural changes of dermal elastic and collagen tissue in a family at risk. Hum Genet. 1991;87:693-700.

22. Limas C. Late onset focal dermal elastosis: a distinct clinicopathologic entity? Am J Dermatopathol. 1999;21:381-383.

23. Baccarani-Contri M, Bacchelli B, Boraldi F, et al. Characterization of pseudoxanthoma elasticum-like lesions in the skin of patients with beta-thalassemia. J Am Acad Dermatol. 2001;44:33-39.

24. Rook A, Wilkinson D, Ebling F, et al. PXE. In: Rook A, ed. Textbook of Dermatology. 4th ed. Oxford, England: Blackwell Scientific; 1986:1841-1844.

25. Christensen OB. An exogenous variety of pseudoxanthoma elasticum in old farmers. Acta Derm Venereol. 1978;58:319-321.

26. Rongioletti F, Rebora A. Fibroelastolytic patterns of intrinsic skin aging: pseudoxanthoma-elasticum-like papillary dermal elastolysis and white fibrous papulosis of the neck. Dermatology. 1995;191:19-24.

27. Neldner KH. Pseudoxanthoma elasticum. Int J Dermatol. 2007;27:98-100.

28. Ng AB, O’Sullivan ST, Sharpe DT. Plastic surgery and pseudoxanthoma elasticum. Br J Plast Surg. 1999;52:594-596.

29. Galadari H, Lebwohl M. Pseudoxanthoma elasticum: Temporary treatment of chin folds and lines with injectable collagen. J Am Acad Dermatol. 2003;49(suppl 5):S265-S266.

30. Uitto J, Ringpfeil F, Pulkkinen L. Pseudoxanthoma elasticum. In: Bolognia JL, Jorizzo JL, Rapini RP, eds. Dermatology. 1st ed. London, England: Mosby; 2003:1524-1526.

References

1. Hu X, Plomp A, van Soest S, et al. Pseudoxanthoma elasticum: A clinical, histopathological, and molecular update. Survey Ophthalmol. 2003;48:424-438.

2. Abdelmalek NF, Gerber TL, Menter A. Cardiocutaneous syndromes and associations. J Am Acad Dermatol. 2002;46:161-183.

3. Jacobi H, Schreiber G. Pseudoxanthoma elasticum. Skin changes as a marker of systemic illness. Der Hautarzt. 1997;48:191-194.

4. Sherer DW, Sapadin AN, Lebwohl MG. Pseudoxanthoma elasticum: an update. Dermatology. 1999;199:3-7.

5. De Paepe A, Viljoen D, Matton M, et al. Pseudoxanthoma elasticum: similar autosomal recessive subtype in Belgian and Afrikaner families. Am J Med Genet. 1991;38:16-20.

6. Kevorkian JP, Masquet C, Kural-Menasche S, et al. New report of severe coronary artery disease in an eighteen-year-old girl with pseudoxanthoma elasticum. Case report and review of the literature. Angiology. 1997;48:735-741.

7. Lebwohl M, Halperin J, Phelps RG. Brief report: occult pseudoxanthoma elasticum in patients with premature cardiovascular disease. N Engl J Med. 1993;329:1237-1239.

8. Sherer DW, Bercovitch L, Lebwohl M. Pseudoxanthoma elasticum: significance of limited phenotypic expression in parents of affected offspring. J Am Acad Dermatol. 2001;44:534-537.

9. Uitto J, Boyd CD, Lebwohl MG, et al. International Centennial Meeting on Pseudoxanthoma Elasticum: progress in PXE research. J Invest Dermatol. 1998;110:840-842.

10. Struk B, Neldner KH, Rao VS, et al. Mapping of both autosomal recessive and dominant variants of pseudoxanthoma elasticum to chromosome 16p13.1. Hum Mol Genet. 1997;6:1823-1828.

11. Chassaing N, Martin L, Calvas P. Pseudoxanthoma elasticum: a clinical, pathophysiological and genetic update including 11 novel ABCC6 mutations. J Med Genet. 2005;42:881-892.

12. Schneider T, Appel H-P, Kuhlwein A, et al. Groenblad-Strandberg-Syndrome. Z Hautkr. 1984;59:1290-1300.

13. Sapadin AN, Lebwohl MG, Teich SA, et al. Periumbilical pseudoxanthoma elasticum associated with chronic renal failure and angioid streaks—apparent regression with hemodialysis. J Am Acad Dermatol. 1998;39:338-344.

14. Lebwohl M, Lebwohl E, Bercovitch L. Prominent mental (chin) crease: a new sign of pseudoxanthoma elasticum. J Am Acad Dermatol. 2003;48:620-622.

15. Shilling JS, Blach RK. Prognosis and therapy of angioid streaks. Trans Ophthalmol Soc UK. 1975;95:301-306.

16. Schievink WI, Michels VV, Piepgras DG. Neurovascular manifestations of heritable connective tissue disorders: a review. Stroke. 1994;25:889-903.

17. Kiec-Wilk B, Surdacki A, Dembinska-Kiec A. Acute myocardial infarction and a new ABCC6 mutation in a 16-year-old boy with pseudoxanthoma elasticum. Int J Cardiol. 2007;116:261-262.

18. Lever WF, Elder DE, Elenitsas R. Congenital diseases (Genodermatoses). In: Lever WF, Schaumburg-Lever G, eds. Histopathology of the Skin. 8th ed. Philadelphia, Pa: Lippincott-Raven; 1997:117-151.

19. Fah L. Pseudoxanthoma elasticum—a visual diagnosis. Schweiz Med Wochenschr. 1991;121:660-663.

20. Lebwohl M, Phelps RG, Yannuzzi L, et al. Diagnosis of pseudoxanthoma elasticum by scar biopsy in patients without characteristic skin lesions. N Engl J Med. 1987;317:347-350.

21. Hausser I. Early preclinical diagnosis of dominant pseudoxanthoma elasticum by specific ultrastructural changes of dermal elastic and collagen tissue in a family at risk. Hum Genet. 1991;87:693-700.

22. Limas C. Late onset focal dermal elastosis: a distinct clinicopathologic entity? Am J Dermatopathol. 1999;21:381-383.

23. Baccarani-Contri M, Bacchelli B, Boraldi F, et al. Characterization of pseudoxanthoma elasticum-like lesions in the skin of patients with beta-thalassemia. J Am Acad Dermatol. 2001;44:33-39.

24. Rook A, Wilkinson D, Ebling F, et al. PXE. In: Rook A, ed. Textbook of Dermatology. 4th ed. Oxford, England: Blackwell Scientific; 1986:1841-1844.

25. Christensen OB. An exogenous variety of pseudoxanthoma elasticum in old farmers. Acta Derm Venereol. 1978;58:319-321.

26. Rongioletti F, Rebora A. Fibroelastolytic patterns of intrinsic skin aging: pseudoxanthoma-elasticum-like papillary dermal elastolysis and white fibrous papulosis of the neck. Dermatology. 1995;191:19-24.

27. Neldner KH. Pseudoxanthoma elasticum. Int J Dermatol. 2007;27:98-100.

28. Ng AB, O’Sullivan ST, Sharpe DT. Plastic surgery and pseudoxanthoma elasticum. Br J Plast Surg. 1999;52:594-596.

29. Galadari H, Lebwohl M. Pseudoxanthoma elasticum: Temporary treatment of chin folds and lines with injectable collagen. J Am Acad Dermatol. 2003;49(suppl 5):S265-S266.

30. Uitto J, Ringpfeil F, Pulkkinen L. Pseudoxanthoma elasticum. In: Bolognia JL, Jorizzo JL, Rapini RP, eds. Dermatology. 1st ed. London, England: Mosby; 2003:1524-1526.

Issue
The Journal of Family Practice - 57(12)
Issue
The Journal of Family Practice - 57(12)
Page Number
812-816
Page Number
812-816
Publications
Publications
Article Type
Display Headline
A curious case study
Display Headline
A curious case study
Legacy Keywords
Gustavo Vasquez; pseudoxanthoma elasticum; skin folds; visual acuity
Legacy Keywords
Gustavo Vasquez; pseudoxanthoma elasticum; skin folds; visual acuity
Sections
Article Source

PURLs Copyright

Inside the Article

Article PDF Media